TECNOLOGIA PER DIAGNOSI PRE INTERVENTO
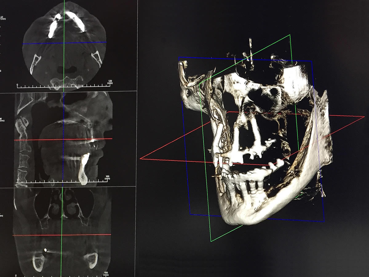
TAC CONE BEAM
Odontoservice ha ritenuto indispensabile dotarsi di questa tecnologia:
TAC CONE BEAM che rappresenta una delle ultime frontiere in campo odontoiatrico per l’indagine radiologica. È una tecnologia che si avvale di raggi X e processori computerizzati per ottenere immagini definite e dettagliate dei siti ossei che unita a un software di immagini permette al clinico di effettuare le misurazioni in 2D e 3D per pianificare al meglio gli interventi chirurgici.
L’impiego di questa tecnologia di Tomografia Computerizzata capace di produrre fasci a cono da una sorgente radiogena riduce di molto l’esposizione ai raggi X rispetto ad altre tecnologie radiologiche più tradizionali. L’utilizzo della tecnica Cone Beam – dato che limita molto l’esposizione alle radiazioni e richiede un tempo assai ridotto per l’esecuzione, unitamente al fatto di avere una struttura “aperta”, è particolarmente indicata per pazienti in età pediatrica, ansiosi e/o claustrofobici ed è utilizzabile anche da pazienti con difficoltà motorie.
Consente inoltre di individuare alterazioni ossee di tipo neoplastico o traumatico.
COME VIENE ESEGUITA?
Durante l’esame radiologico con tecnologia Cone Beam si può restare seduti o in piedi per una durata di circa 20-30 secondi in cui l’apparecchiatura compie una rotazione di 360° gradi intorno alla nostra testa.
QUALI SONO I VANTAGGI?
Numerosi sono i vantaggi che ne derivano dall'impiego di questa tecnologia. Alcuni di questi sono:
- Meno rischi di fallimento/rigetto dell'impianto;
- Meno sorprese durante gli interventi , più predicibilità e quindi più sicurezza per il paziente;
- Meno dolore post operatorio.
La Tac Cone Bean rappresenta quindi una strategia diagnostica radiologica innovativa e fondamentale in odontoiatria.









